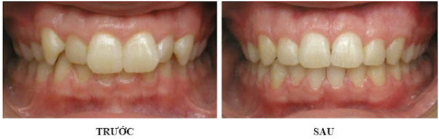
Niềng răng mắc cài sứ thẩm mỹ hiện vừa mang lại hiệu quả chỉnh nha cao vừa đáp ứng tính thẩm mỹ. Phương pháp này hiện được rất nhiều khách hàng ưu tiên lựa chọn.
Thế nào là niềng răng bằng mắc cài sứ
Mắc cài sứ là một loại mắc cài có màu sắc gần như trùng với màu răng thật nên khó có thể nhận biết được bạn đang đeo mắc cài. Phương pháp này hiện nay đang được nhiều khách hàng lựa chọn bởi tính thẩm mỹ cao, được tạo ra từ hợp kim và nhiều loại vật liệu vô cơ khác nên có ưu điểm chịu lực tốt, rất khó bị phá vỡ. Các dây thun liên hàm có màu sắc gần như trong suốt giúp bạn có nự cười tự tin hơn.

Rất nhiều người muốn sử dụng phương pháp niềng răng để khắc phục nhược điểm của răng nhưng lại lo lắng không biết giá niềng răng bằng mắc cài sứ thẩm mỹ là bao nhiêu?
Có 2 loại mắc cài răng sứ
Trước khi thực hiện niềng răng, mọi người thường phải tìm hiểu chi tiết về phương pháp này có thể kể đến các yếu tố như: giá niềng răng bằng mắc cài sứ thẩm mỹ, các loại mắc cài răng, quy trình thực hiện…. Hiện nay có 2 loại mắc cài răng sứ chính và được sử dụng nhiều nhất, đó là:
Mắc cài răng sứ cổ điển
Bước 1: Bác sĩ khám và kiểm tra răng miệng
Bác sĩ thăm khám và kiểm tra tình trạng răng miệng hiện tại của bạn, trám những lỗ sâu răng và điều trị nha chu (nếu có) trước khi tiến hành các bước niềng răng bằng mắc cài sứ thẩm mỹ nhằm hạn chế nguyên nhân mắc bệnh răng miệng.

Bác sĩ tại Bệnh viện Răng Hàm Mặt Sài Gòn thực hiện khám và kiểm tra răng miệng cho khách
Bước 2: Lấy mẫu hàm bằng Alginate
Bác sĩ thực hiện lấy mẫu hàm bằng Alginate, thao tác này nhằm giúp Bác sĩ dễ dàng kiểm tra được tình trạng răng mọc hiện tại để đưa ra kỹ thuật phù hợp nhất. Ngoài ra mẫu hàm còn là cơ sở giúp tạo các mắc cài tương ứng, tăng độ chuẩn xác khi gắn lên răng thật.

Bác sĩ thực hiện lấy dấu mẫu hàm bằng Alginate
Bước 3: Tiến hành chụp phim bằng máy X Quang kỹ thuật số Pano Ceph
Đối với phương pháp niềng răng thì bước chụp phim vô cùng quan trọng, căn cứ vào phim sau khi chụp Bác sĩ có thể xác định được khung xương hàm, cung hàm, vị trí các răng mọc… Thông qua đó để lên phác đồ điều trị một cách hợp lý và chính xác nhất. Máy Pano Ceph công nghệ mới nhất hiện nay với ưu điểm sóng bức xạ thấp nên cực kỳ an toàn cho sức khỏe của bạn

Chụp phim pano Ceph cho khách hàng trước khi niềng răng
Bước 4: Tiến hành phân tích bằng phần mềm V Ceph
Tại Nha khoa Kim Hospital được trang bị phần mềm V Ceph một trong những phần mềm hổ trợ chuyên dụng trong chỉnh nha. Bạn sẽ được chụp hình gương mặt và bên trong khoang miệng ở nhiều góc độ khác nhau, tiếp đó chuyển dữ liệu hình ảnh này vào phần mềm V Ceph để phân tích và đưa ra các thông số, tỷ lệ phù hợp giúp Bác sĩ thực hiện nhanh chóng và chính xác trong quá trình niềng răng.

Phần mềm V Ceph hổ trợ chuyên dụng trong chỉnh nha
Bước 5: Gắn mắc cài lên răng
Bác sĩ sẽ thực hiện gắn mắc cài sứ lên răng của bạn bằng chất dán composite, tiếp đó sử dụng một dây tạo lực đặt vào giữa các mắc cài giúp di chuyển các răng từ từ vào vị trí mong muốn. Trong một số trường hợp có thể sử dụng thêm các neo chặn để giúp răng di chuyển nhanh hơn. Bạn nên tái khám 4-6 tuần 1 lần để được Bác sĩ điều chỉnh mắc cài.
Bước 6: Chăm sóc sau niềng răng bằng mắc cài sứ thẩm mỹ
– Bạn nên sử dụng các thực phẩm mềm sau khi niềng răng,hạn chế các loại thức ăn chứa đường như kẹo, soda và những thực phẩm chứa màu sắc nhân tạo. Tránh những thực phẩm có chất kết dính như kẹo cao sư, caramel…vì ngoài nguy cơ răng miệng chúng còn có khả năng phá vỡ hoặc làm cong niềng răng của bạn. Ngoài ra bạn nên thường xuyên sử dụng nước súc miệng fluoride để ngăn ngừa tối đa bệnh răng miệng.
Bệnh viện Răng Hàm Mặt Sài Gòn tự tin sẽ mang lại cho bạn hàm răng khỏe, đẹp với chi phí hợp lý nhất hiện nay. Vì vậy bạn hoàn toàn không phải lo lắng về vấn đề chi phí, nếu còn bất kỳ điều gì thắc mắc xin hãy liên hệ trực tiếp với chúng tôi hoặc qua số hotline để được tư vấn rõ hơn. Hãy gọi điện đến tổng đài 19006899 của Nha Khoa Kim để các bác sĩ tư vấn, hoặc truy cập vào website để biết thêm thông tin chi tiết.
Thế nào là niềng răng bằng mắc cài sứ
Mắc cài sứ là một loại mắc cài có màu sắc gần như trùng với màu răng thật nên khó có thể nhận biết được bạn đang đeo mắc cài. Phương pháp này hiện nay đang được nhiều khách hàng lựa chọn bởi tính thẩm mỹ cao, được tạo ra từ hợp kim và nhiều loại vật liệu vô cơ khác nên có ưu điểm chịu lực tốt, rất khó bị phá vỡ. Các dây thun liên hàm có màu sắc gần như trong suốt giúp bạn có nự cười tự tin hơn.

Rất nhiều người muốn sử dụng phương pháp niềng răng để khắc phục nhược điểm của răng nhưng lại lo lắng không biết giá niềng răng bằng mắc cài sứ thẩm mỹ là bao nhiêu?
Có 2 loại mắc cài răng sứ
Trước khi thực hiện niềng răng, mọi người thường phải tìm hiểu chi tiết về phương pháp này có thể kể đến các yếu tố như: giá niềng răng bằng mắc cài sứ thẩm mỹ, các loại mắc cài răng, quy trình thực hiện…. Hiện nay có 2 loại mắc cài răng sứ chính và được sử dụng nhiều nhất, đó là:
Mắc cài răng sứ cổ điển
☻ http://phauthuatthammyhanquoc.com/chi-phi-nieng-rang-bang-invisalign-bao-nhieu-tien/
Phương pháp khá đơn giản, chi phí thấp nhưng mất nhiều thời gian trong việc thay dây thun và vệ sinh răng miệng. Trước đây, mắc cài răng sứ truyền thống dễ gây vỡ, gãy nhưng hiện nay đã khắc phục hoàn toàn nhược điểm này.
Mắc cài răng sứ tự động
Phương pháp này không sử dụng dây thun, sử dụng mắc cài và dây cung hiện đại, có một nắp trượt trên phần cánh mắc cài như là một nắp đậy để giữ chắc dây cung vào khe mắc cài. Kỹ thuật này có tính năng tự động nên ít tốn thời gian, giảm đau nhưng có nhược điểm là chi phí cao hơn.
Già niềng răng bằng mắc cài sứ thẩm mỹ phụ thuộc vào nhiều yếu tố, trong đó phải kể đến tình trạng răng hiện tại, loại mắc cài muốn làm, bên cạnh đó còn bị tác động bởi sự lựa chọn trung tâm nha khoa thực hiện phương pháp này. Tuy nhiên đối với những địa chỉ uy tín chất lượng thì sự chênh lệch giá niềng răng bằng mắc cài sứ thẩm mỹ là không đáng kể, bạn không cần quá lo lắng về điều đó.
Ưu điểm niềng răng bằng mắc cài sứ thẩm mỹ
– Niềng răng bằng mắc cài sứ thẩm mỹ có ưu điểm vượt trội hơn so với những phương pháp thông thường như đảm bảo tính thẩm mỹ cao, lực tác động lên răng ổn định, rút ngắn thời gian nắn chỉnh và mang lại kết quả chính xác hơn.
– Được làm từ các vật liệu vô cơ trơn làng nên hầu như không cản trở mặt nhai, việc vệ sinh và chăm sóc răng miệng cũng dễ dàng hơn không làm tổn thương đến răng miệng.
Hội tụ đội ngũ Bác sĩ chuyên khoa trên 15 năm kinh nghiệm, được đào tạo tại các trường đại học nổi tiếng trên thế giới như Úc, Mỹ…bạn sẽ thực sự hài lòng khi đến với Bệnh viện Răng Hàm Mặt Sài Gòn. Bên cạnh đó Bệnh viện còn được trang bị hệ thống máy móc, thiết bị hiện đại hổ trợ trong chỉnh nha như máy Cone Beam CT 3D, Pano Ceph, V Ceph…sẽ mang lại kết quả tốt nhất cho bạn sau niềng răng. Ngoài ra, Bệnh viện Răng Hàm Mặt Sài Gòn còn đưa ra những mức giá niềng răng bằng mắc cài sứ thẩm mỹ rất hợp lý, phù hợp với mong muốn của khách hàng khi thực hiện niềng răng.
Quy trình niềng răng tại
Trên thực tế quy trình thực hiện niềng răng cũng là một yếu tố có ảnh hưởng không nhỏ đến mức giá niềng răng bằng mắc cài sứ thẩm mỹ. Một quy trình niềng răng đúng kỹ thuật sẽ giúp cho khách hàng đạt được kết quả như mong muốn, đảm bảo sự an toàn và hiệu quả thẩm mỹ cao nhất sau khi tháo bỏ mắc cài.
Phương pháp khá đơn giản, chi phí thấp nhưng mất nhiều thời gian trong việc thay dây thun và vệ sinh răng miệng. Trước đây, mắc cài răng sứ truyền thống dễ gây vỡ, gãy nhưng hiện nay đã khắc phục hoàn toàn nhược điểm này.
Mắc cài răng sứ tự động
Phương pháp này không sử dụng dây thun, sử dụng mắc cài và dây cung hiện đại, có một nắp trượt trên phần cánh mắc cài như là một nắp đậy để giữ chắc dây cung vào khe mắc cài. Kỹ thuật này có tính năng tự động nên ít tốn thời gian, giảm đau nhưng có nhược điểm là chi phí cao hơn.
Già niềng răng bằng mắc cài sứ thẩm mỹ phụ thuộc vào nhiều yếu tố, trong đó phải kể đến tình trạng răng hiện tại, loại mắc cài muốn làm, bên cạnh đó còn bị tác động bởi sự lựa chọn trung tâm nha khoa thực hiện phương pháp này. Tuy nhiên đối với những địa chỉ uy tín chất lượng thì sự chênh lệch giá niềng răng bằng mắc cài sứ thẩm mỹ là không đáng kể, bạn không cần quá lo lắng về điều đó.
Ưu điểm niềng răng bằng mắc cài sứ thẩm mỹ
– Niềng răng bằng mắc cài sứ thẩm mỹ có ưu điểm vượt trội hơn so với những phương pháp thông thường như đảm bảo tính thẩm mỹ cao, lực tác động lên răng ổn định, rút ngắn thời gian nắn chỉnh và mang lại kết quả chính xác hơn.
– Được làm từ các vật liệu vô cơ trơn làng nên hầu như không cản trở mặt nhai, việc vệ sinh và chăm sóc răng miệng cũng dễ dàng hơn không làm tổn thương đến răng miệng.
Hội tụ đội ngũ Bác sĩ chuyên khoa trên 15 năm kinh nghiệm, được đào tạo tại các trường đại học nổi tiếng trên thế giới như Úc, Mỹ…bạn sẽ thực sự hài lòng khi đến với Bệnh viện Răng Hàm Mặt Sài Gòn. Bên cạnh đó Bệnh viện còn được trang bị hệ thống máy móc, thiết bị hiện đại hổ trợ trong chỉnh nha như máy Cone Beam CT 3D, Pano Ceph, V Ceph…sẽ mang lại kết quả tốt nhất cho bạn sau niềng răng. Ngoài ra, Bệnh viện Răng Hàm Mặt Sài Gòn còn đưa ra những mức giá niềng răng bằng mắc cài sứ thẩm mỹ rất hợp lý, phù hợp với mong muốn của khách hàng khi thực hiện niềng răng.
Quy trình niềng răng tại
Trên thực tế quy trình thực hiện niềng răng cũng là một yếu tố có ảnh hưởng không nhỏ đến mức giá niềng răng bằng mắc cài sứ thẩm mỹ. Một quy trình niềng răng đúng kỹ thuật sẽ giúp cho khách hàng đạt được kết quả như mong muốn, đảm bảo sự an toàn và hiệu quả thẩm mỹ cao nhất sau khi tháo bỏ mắc cài.
Bước 1: Bác sĩ khám và kiểm tra răng miệng
Bác sĩ thăm khám và kiểm tra tình trạng răng miệng hiện tại của bạn, trám những lỗ sâu răng và điều trị nha chu (nếu có) trước khi tiến hành các bước niềng răng bằng mắc cài sứ thẩm mỹ nhằm hạn chế nguyên nhân mắc bệnh răng miệng.

Bác sĩ tại Bệnh viện Răng Hàm Mặt Sài Gòn thực hiện khám và kiểm tra răng miệng cho khách
Bước 2: Lấy mẫu hàm bằng Alginate
Bác sĩ thực hiện lấy mẫu hàm bằng Alginate, thao tác này nhằm giúp Bác sĩ dễ dàng kiểm tra được tình trạng răng mọc hiện tại để đưa ra kỹ thuật phù hợp nhất. Ngoài ra mẫu hàm còn là cơ sở giúp tạo các mắc cài tương ứng, tăng độ chuẩn xác khi gắn lên răng thật.

Bác sĩ thực hiện lấy dấu mẫu hàm bằng Alginate
Bước 3: Tiến hành chụp phim bằng máy X Quang kỹ thuật số Pano Ceph
Đối với phương pháp niềng răng thì bước chụp phim vô cùng quan trọng, căn cứ vào phim sau khi chụp Bác sĩ có thể xác định được khung xương hàm, cung hàm, vị trí các răng mọc… Thông qua đó để lên phác đồ điều trị một cách hợp lý và chính xác nhất. Máy Pano Ceph công nghệ mới nhất hiện nay với ưu điểm sóng bức xạ thấp nên cực kỳ an toàn cho sức khỏe của bạn

Chụp phim pano Ceph cho khách hàng trước khi niềng răng
Bước 4: Tiến hành phân tích bằng phần mềm V Ceph
Tại Nha khoa Kim Hospital được trang bị phần mềm V Ceph một trong những phần mềm hổ trợ chuyên dụng trong chỉnh nha. Bạn sẽ được chụp hình gương mặt và bên trong khoang miệng ở nhiều góc độ khác nhau, tiếp đó chuyển dữ liệu hình ảnh này vào phần mềm V Ceph để phân tích và đưa ra các thông số, tỷ lệ phù hợp giúp Bác sĩ thực hiện nhanh chóng và chính xác trong quá trình niềng răng.

Phần mềm V Ceph hổ trợ chuyên dụng trong chỉnh nha
Bước 5: Gắn mắc cài lên răng
Bác sĩ sẽ thực hiện gắn mắc cài sứ lên răng của bạn bằng chất dán composite, tiếp đó sử dụng một dây tạo lực đặt vào giữa các mắc cài giúp di chuyển các răng từ từ vào vị trí mong muốn. Trong một số trường hợp có thể sử dụng thêm các neo chặn để giúp răng di chuyển nhanh hơn. Bạn nên tái khám 4-6 tuần 1 lần để được Bác sĩ điều chỉnh mắc cài.
Bước 6: Chăm sóc sau niềng răng bằng mắc cài sứ thẩm mỹ
– Bạn nên sử dụng các thực phẩm mềm sau khi niềng răng,hạn chế các loại thức ăn chứa đường như kẹo, soda và những thực phẩm chứa màu sắc nhân tạo. Tránh những thực phẩm có chất kết dính như kẹo cao sư, caramel…vì ngoài nguy cơ răng miệng chúng còn có khả năng phá vỡ hoặc làm cong niềng răng của bạn. Ngoài ra bạn nên thường xuyên sử dụng nước súc miệng fluoride để ngăn ngừa tối đa bệnh răng miệng.
✓ Xem thêm nhiều thông tin hữu ích về nhoa khoa tại:
Bệnh viện Răng Hàm Mặt Sài Gòn tự tin sẽ mang lại cho bạn hàm răng khỏe, đẹp với chi phí hợp lý nhất hiện nay. Vì vậy bạn hoàn toàn không phải lo lắng về vấn đề chi phí, nếu còn bất kỳ điều gì thắc mắc xin hãy liên hệ trực tiếp với chúng tôi hoặc qua số hotline để được tư vấn rõ hơn. Hãy gọi điện đến tổng đài 19006899 của Nha Khoa Kim để các bác sĩ tư vấn, hoặc truy cập vào website để biết thêm thông tin chi tiết.



















